아하
  • 토픽

  • 스파링

  • 잉크

  • 미션


의료상담

꽤즐거워하는갓김치

꽤즐거워하는갓김치

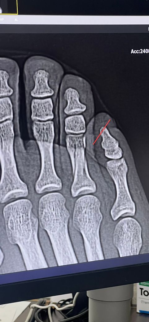
4번째 발가락 골절입니다. 깁스 벗어도 될까요 ?!

성별

남성

나이대

27

현재 3주차 골절 19일째입니다.

처음 병원에서는 수술을 하라고 해서 옮겨

비수술 치료중입니다.

현재 병원에서 해주신 깁스와 인터넷에서 본 버디테이핑 중 입니다. 처음 골절 되었던때보다 조금 벌어지긴 했는데 수술은 안해도 될거 같다 하셔서 안하기로 했는데요.

혹시 다음주 중으로 깁스 풀고 버디테이핑에 신발만 신고 다녀도 될까요 ??

더 벌어지거나 예후가 안좋지

않다면 벗고싶습니다..

너무 답답합니다..

  • 1번 째 사진
  • 2번 째 사진

4개의 답변이 있어요!

  • 김덕현 물리치료사

    김덕현 물리치료사

    논현역 재활병원

    안녕하세요. 김덕현 물리치료사입니다.

    일단은 병원에서 치료를받는데로하는것이좋은데요 깁스를 제거한다고하더라도 너무 강한자극을준다거나 무리해서 움직인다면 통증이다시 재발할수있으니 주의하는것이 좋습니다

    지속적으로 물리치료와 같은 치료를받으면서 관리하는걸 추천합니다 감샇바니다~!

  • 안녕하세요. 송진영 물리치료사입니다.

    골절 3주차라면 아직 골절 부위가 완전히 치유되지 않았을 가능성이 크므로 깁스를 벗거 버디 테이핑을 적용하기 전에 담다으이사와 다시 상담하는 것이 중요합니다. 버디 테이핑은 안정화에 도움이 될 수 있지만 골절 부위가 완전히 유합되 지 않은 상태에서 무리하면 다시 부러질 수 있습니다!

  • 안녕하세요. 이동진 물리치료사입니다.

    발가락 골절로 불편이 있으시군요.

    무리하거나 충격으로 손상이 더 심해 질 수 있으며 고정이 잘 되지 않아 골절 부위가 더 벌어질 수 있기 때문에

    완전하게 유합이 될 때 까지는 깁스를 하고 계시는 것이 좋을 것 같습니다.

    답변이 도움이 되었으면 좋겠습니다.

  • 안녕하세요. 김강록 물리치료사입니다.

    현재 상태로는 사실 확인이 어렵습니다. 주치의와 상담 후 결정하시기를 바랍니다.

    개인적으론 아직은 깁스를 풀고 테이핑만으론 보호와 골절 유합의 방해가 될 거 같은데 정확한 판단이 어렵습니다.

    우선 골절 같은경우 무리한 사용이나 계속되는 자극을 주면 골절 유합의 방해가 되고 더디거나 불유합을 만드는 경우가 많기에 골절 환자분들 같은 경우 충분한 휴식과 무리하지않게 움직이는것을 권장드립니다.

    요즘 날씨도 많이 덥고 깁스를 하면 정말 답답하기에 질문자님의 마음이 이해갑니다만,

    현재로썬 주치의와 꾸준한 상담을 통해 향후 치료 계획 및 치료 방향을 상담 나누시고 깁스를 푸는 부분에 대해서 좀 더 대화를 나눠보시길 바랍니다.

    빠른 시일내에 골절의 회복과 건강한 삶이 되시길 바랍니다^^