아핫뉴스실시간 인기검색어
아핫뉴스 화산 이미지
화산 아이콘 11
정철원 갈등 폭로
아하

의료상담

정형외과

태평한담비250
태평한담비250

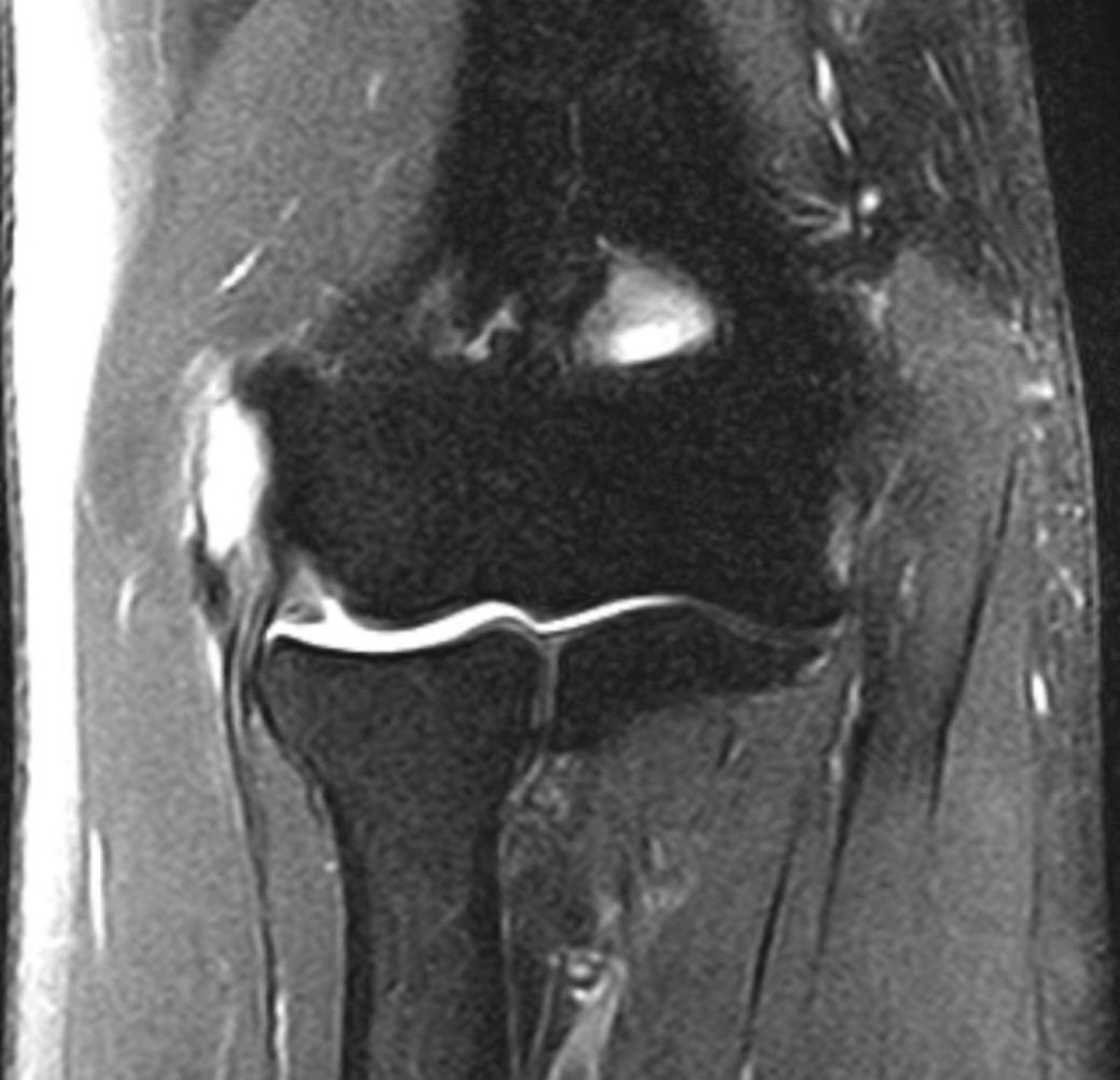
팔꿈치mri인데 수술이 필요한 정도 일까요?

성별
여성
나이대
30대
기저질환
당뇨 심장스탠트1개시술
복용중인 약
당뇨약 심장약

오른쪽 팔꿈치 입니다

5년넘게 비수술치료로 견뎌왔고

통증의 강도가 심해져서

수술을 해야한다고 하는데..

만약 수술을 하게 된다면 비수면으로도 가능한지

심장 스탠트 시술 5년전에 했어서요

  • 1번 째 사진
5개의 답변이 있어요!
  • 안녕하세요. 김덕현 물리치료사입니다.

    사진상으로 많은걸확인할수는없지만 통증과불편감이 5년넘게 지속되었다면 수술을받아보는것도 좋은생각인데요

    수술을고려하고있다면 최소 3명의전문의와 상담후에 결정하는것이 좋습니다

    빨리 몸이 호전되시기를 바라겠습니다 감사합니다~!

    1명 평가
  • 안녕하세요. 송진영 물리치료사입니다.

    팔꿈치 질환은 파열 범위 관절 손상 정도에 따라 수술 필요성이 달라져요 5년간 보존치료 후 통증이 악화됐다면 영상 소견에 따라 수술 권유가 나올 수 있습니다.

    팔꿈치 수술은 부분 마취와 진정 요법으로 시행 가능한 경우가 있어요! 심장 스텐트 이력이 있으면 마취 방법 약물 조정이 필요하니 마취과와 사전의 협의가 중요합니다!

    1명 평가
  • 안녕하세요. 김강록 물리치료사입니다.

    우선 현재로썬 5년간의 치료를 해도 통증이 있으셨기에 수술을 고려해보시길 바랍니다.

    보통 팔꿈치 수술을 하게되면 해당 팔을 신경차단술을 통해 마취를 하는 경우와 전신 마취를 하는 경우가 있습니다.

    아무래도 스탠트 시술을 하셨기에 전신 마취는 제한이 될 수 있으며 수술 상담 전 꼭 병원에 스탠트 시술에 대한 내용 전달을 해주시길 바랍니다^^

    1명 평가
  • 안녕하세요. 김현태 물리치료사입니다.

    통증이 5년이상 장기적으로 지속되신 경우, MRI는 주치의가 촬영 검사에서 보이는 손상범위를 종합하여 판단하고 보존적인 치료를 지속하셔도 큰 호전이 없는 경우에는 수술을 고려하실 수 있는데요,

    심장수술 병력이 있으신 만큼, 마취에 대한 부담이 있으신 것으로 생각됩니다.

    올려주신 사진으로는 질문자분의 증상과 이전 자효와 비교하는 등의 종합적으로 판단하기 어렵기 때문에

    이에관해 주치의와 상담을 하신 이후에 결정하시는 것이 좋겠고, 보통 보존적인 치료를 지속하셔도 호전이 없는 경우 검사를 진행한 이후에 수술을 고려하기도 합니다.

    1명 평가
  • 안녕하세요. 채홍석 가정의학과 전문의입니다.

    업로드해주신 증상의 설명과 자료는 잘 보았습니다.

    MRI 사진 한 컷만으로는 알 수 없습니다.

    비수술치료로 통증이 조절이 되지 않기 때문에 수술이야기가 나온 것으로 생각이 됩니다

    전신마취가 걱정이 되셔서 그런 것으로 생각되는데요

    상완친경총 마취를 하게되면 심장스텐트와는 크게 상관이 없을 것입니다.

    너무 걱정하지 않으셔도 되겠습니다.

    1명 평가