허리 MRI 디스크 상태 분석 부탁드립니다
안녕하세요
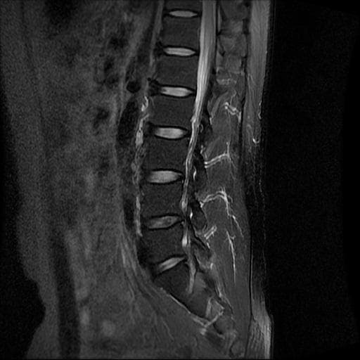
검진 차 MRI찍었는데 분석 부탁드립니다.
건협에서는 관리해야 된다는데 디스크 협착이나 팽윤 등이 있는 상태인지 궁금합니다.
올초 게임하다가 요통이 생겨서 운동하니 요통은 사라졌는데 허리가 뻣뻣해지더라구요.
그리고 왼쪽 다리 들어올릴 때 소리가 납니다.
프롤로주사 치료받고 있습니다.
안녕하세요. 송진희 물리치료사입니다.
MRI 결과 내용을 구체적으로 확인해야 정확한 분석이 가능합니다.
일반적으로 허리 디스크 협착이나 팽윤이 있으면 신경 압박으로 다리 저림, 통증, 뻣뻣함이 나타날 수 있습니다.
왼쪽 다리 들어올릴 때 소리가 나는 것은 관절이나 인대 움직임에 의한 정상 음일 수도 있고, 근육 긴장과 관련될 수도 있습니다.
프롤로 주사와 함께 "스트레칭, 코어 근력 강화 운동" 을 꾸준히 하면 증상 관리에 도움이 됩니다. 감사합니다~^^안녕하세요. 김강록 물리치료사입니다.
우선 현재로썬 사진만으론 판단을 하기에 제한이 되지만 사진상 디스크 상태는 심해보이지 않습니다.
허리의 통증은 디스크뿐만이 아닌 근육의 문제, 자세의 문제, 척추의 정렬 문제 등 여러 원인이 있을 수 있습니다.
평소 틈틈이 스트레칭과 가볍게 마사지를 해주면서 근육과 관절의 컨디션 관리를 해주시길 바랍니다^^
안녕하세요. 김현태 물리치료사입니다.
요추부위의 하부 에서 약간의 팽윤이나 돌출로 의심해볼수 있는 정도이지만, 정확한 상태는 관련 전문의에게 진료시 문의를 하시는 것을 추천드립니다.
오랜시간 자세를 유지할 때에는 주기적으로 몸을 일으켜 움직이거나 자세를 바꿔주시고, 스트레칭이나 간단한 운동을 꾸준히 지속하여 건강을 관리해주시는 것이 좋겠습니다.

