아하
  • 토픽

  • 스파링

  • 잉크

  • 미션


의료상담

매일부드러운카레

매일부드러운카레

팔꿈치 통증 및 척골신경 아탈구 증상 문의

성별

남성

나이대

30대

정보

- 오른손잡이, 남자 37살, 키 173 CM, 체중 60 KG 의 마른 근육형

발생 시점 및 경위

- 5월 중순: 헬스장에서 풀업바에 점프하여 매달리던 중 양쪽 팔꿈치에 순간적으로 과도한 하중이 가해지면서 통증 시작

- 초기에는 주두(olecranon) 부위 불편감으로 시작, 이후 내/외측 상과 통증으로 진행

증상 경과

- 5월 중순~6월 초: 충격파 치료 및 1-2주 휴식 후 호전되는 듯하여 상체 운동 재개했으나 통증 악화 (2회 반복)

- 6월 중순: 자유형 수영 1시간 후 수면 중 통증으로 각성할 정도로 악화

- 6월 중순~말: 수면 중 좌측 4,5번째 손가락 마비감 수차례 경험, 척골신경 문제 인지

- 7월 초: 겨드랑이부터 상완부까지 척골신경 주행 경로를 따라 당기는 느낌 발생

- 7월 말~현재: 내측 상과 통증은 현저히 감소, 주두 부위 불편감 지속

현재 증상

1. 주두 부위 삼두건 주변 불편감 및 통증

2. 척골신경 아탈구 (좌측이 더 심함)

- 팔꿈치 굴곡 시 65-80도에서 척골신경이 탈구

- 신전 시 원위치로 복귀하며 넘어가는 느낌

3. 내측 상과 및 상완부~겨드랑이까지 척골신경 경로상 간헐적 불편감

4. 수면 자세에 따라 좌측 4,5번째 손가락 경미한 저림

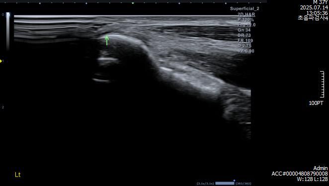
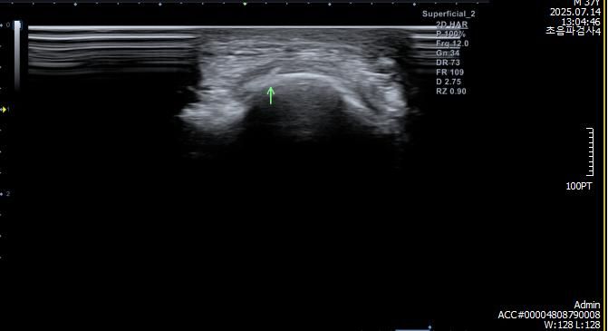
검사 결과 (7월 중순)

- MRI: 좌측 삼두건 경미한 염증, ulnar nerve supracondylar level 경미한 신호 증가

- 초음파/근전도: 척골신경 아탈구 확인

- 의사 소견: 인대 손상 없어 선천적 아탈구 가능성 제시

주요 질문사항

1. 외상으로 인한 척골신경 아탈구 발생 가능성 vs 선천적 아탈구에 외상이 가중된 것인지?

2. 현재 척골신경이 반복적으로 탈구되는 상태가 신경 손상을 누적시키는지?

3. 척골신경이 회복되면 아탈구 자체는 문제가 되지 않는지?

4. 완전 회복 및 운동 복귀 가능성과 치료 방향은?

5. 우측에 상대적으로 통증이 적고, 아탈구 느낌이 없는거는 전완근 발달로 인한것인지 궁금함.

치료 목표

팔꿈치 통증 완치 후 웨이트 트레이닝 복귀입니다.

아래는 관련 사진 첨부합니다.

  • 1번 째 사진
  • 2번 째 사진
  • 3번 째 사진
  • 4번 째 사진
  • 5번 째 사진

4개의 답변이 있어요!

  • 송진영 물리치료사

    송진영 물리치료사

    보건복지부

    안녕하세요. 송진영 물리치료사입니다.


    외상으로 인해 기존 선천적 아탈구가 악화되었을 가능성이 높으며 반복적 탈구는 신경에 스트레스를 주지만 현재 mri와 증상으로는 심각한 손상은 보이지 않습니다. 척골신경 증상이 회복되면 아탈구 자체는 기능적 문제를 일으키지 않을 수 있으며 물리치료와 신경 안정화 운동으로 점진적 웨이트 복귀가 가능합니다. 우측이 덜 불편한 것은 전완근과 삼두근 발달로 신경 안정성이 상대적으로 높기 때문일 수 있습니다!

  • 안녕하세요. 송재민 재활의학과 전문의입니다.

    척골 신경 문제로 힘드시겠습니다. 다만 이곳은 진료환경이 아니기 때문에 제한된 답변 할 수 밖에 없는 점 이해 부탁드립니다. 직접 진료보신 선생님 의견이 더 정확하겠으며, MRI와 초음파도 단면 사진만으로 평가하지 않으며 특히 신경탈구의 경우 직접 검사하면서 시행해보는것이 중요합니다. 결론적으로 현재 신경 아탈구는 있는 상황이며, 반복적으로 탈구되는 상태는 신경에 손상 누적될 수 있습니다.

  • 안녕하세요. 김강록 물리치료사입니다.

    1. 외상으로 인한 척골신경 아탈구 발생 가능성 vs 선천적 아탈구에 외상이 가중된 것인지?

    우선 현재로썬 두 경우 모두 다 가능성이 있으며, 현재 선천적 아탈구에 소견이 있으시기에 외상으로 인한 증상이 유발 됐을 가능성이 높습니다.

    2. 현재 척골신경이 반복적으로 탈구되는 상태가 신경 손상을 누적시키는지?

    반복적인 탈구는 신경을 압박하거나 건드리면서 신경의 손상을 유발 시키며 신경 손상을 누적 시킬 수 있습니다.

    지속되는 자극과 마찰은 손상을 유발합니다.

    3. 척골신경이 회복되면 아탈구 자체는 문제가 되지 않는지?

    아탈구 자체에 문제는 다른 문제로 지금은 신경적인 문제를 치료하면서 아탈구에 대한 적절한 조치가 필요합니다.

    아탈구가 일어날만한 동작 및 자극을 주는것은 피하시는게 좋습니다.

    4. 완전 회복 및 운동 복귀 가능성과 치료 방향은?

    우선 지금과 같은 경우엔 완전 회복을 위해선 상태에 따라 비수술 / 수술로 나눠질 수 있습니다.

    가장 확실한건 전문의에 진단과 소견이 필요하며 꾸준한 치료와 재활이 필요합니다.

    비수술 치료로는 물리치료, 약물치료, 체외충격파, 도수치료, 주사치료 등이 있으며 꾸준한 상담을 통해 적절한 치료를 하시길 바랍니다.

    5. 우측에 상대적으로 통증이 적고, 아탈구 느낌이 없는거는 전완근 발달로 인한것인지 궁금함.

    지금으로썬 전완근 발달과는 연관이 될 수도 있지만 무조건 연관이 되어있다고는 보기 어렵습니다.

    오른쪽에 외상 자극이 덜 갔거나, 왼쪽에 비해 오른쪽이 근육적인 부분이나 인대적인 부분에서 더 견고해서 자극이 덜 갔을 수도 있습니다.

    지금으로썬 최대한 전문의와 꾸준한 상담을 통해 현재 상태에 대한 내용 전달을 받으시고 필요에 따른 적절한 치료들을 병행하시길 바랍니다^^

  • 안녕하세요. 김현태 물리치료사입니다.

    1. 선천적인 아탈구 소견 이외에 외상으로 인해 증상이 나타나거나 악화될 수 있는 가능성도 존재합니다.

    2. 반복되는 탈구는 주변 연부조직과 신경에 미칠이나 압박을 주어 손상이 누적될 수 있습니다.

    3. 신경이 회복되어도 아탈구가 지속된다면 재발의 가능성이 있겠습니다.

    4. 충분한 회복과 재활 및 전문적인 치료를 지속 병행한다면 운동 복귀는 불가능한 것이 아닙니다. 현재상태에서 치료는 단순히 글과 사진자료로 판단되기에는 한계가 있으므로, 전문의의 대면진료가 필요하겠습니다.

    5. 구조적차이에 의한 것일 수 있을 것으로 추측해봅니다.