아핫뉴스실시간 인기검색어
아핫뉴스 화산 이미지
화산 아이콘 11
서울버스 파업
아하

의료상담

정형외과

압도적으로활동적인마멋
압도적으로활동적인마멋

엄지발가락 개방성 골절 항생제 치료로인한 퇴원불가

성별
남성
나이대
30대
기저질환
없음
복용중인 약
없음

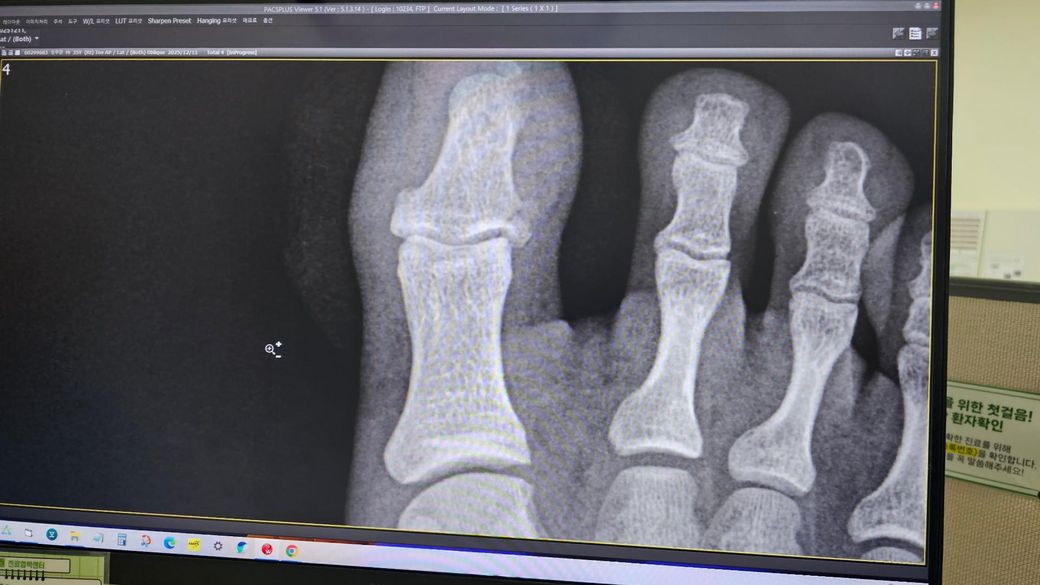
12월 11일밤 원판 20kg가 엄지발가락에 떨어져서 응급실 내방 개방성골절을 확인했고 후

12월 12일 금요일 오전 전문병원에서 핀을 박고 발톱 부위를 꿰맸습니다.

항생제는 세파제돈을 1일간투여하다가 이틀차부터는 유니티악손주를 오전.오후 2차례 투여하고있습니다. 추가적인 치료는 없음.

관절염이 우려되어서 일주일 추가 입원을 권장하는데 너무 오랜기간 입원이라 필요 이상이란 생각이듭니다.

붉은 기가 있기때문에 아직 염증치료가 더필요하다는데 어느 병원에서는 발가락 골절은 반깁스 없이도 충분히 치유가 가능하다고하고 실제로 하루정도 깁스없이 뒷ㅁ굼치로 생활 했을 때 오히려 더 편하게 느껴졌습니다.

전문가 선생님들의 고견을 묻고싶습니다

물론 어느하나 확정적이거나 정답이 있는 건 없겠지만 너무 큰 우려는 걱정만 생기고 저 또한 일상 (출근)을 못하는 부분이 너무 장기화되어 어렵습니다.

1. 퇴원못하는 사유가 경구 항생제는 약하여 현재 위험성(관절염. 골수염. 괴사 등) 을 완전히 제거하기 위해 강한 항생제가 필요하다(유니티악손주)

2.현재상태나 경과가 1주일이상의 추가 입원을 요할만큼 큰 치료를 받는게 없으므로 (항생제 외) 경구 항생제로도 어느정도 컨트롤 가능한지.

답은 없겠지만 염려되는부분과 제가 무지에서 발생하는 겁없는 행동인지 답변부탁드립니다.

  • 1번 째 사진
  • 2번 째 사진
  • 3번 째 사진
  • 4번 째 사진
5개의 답변이 있어요!
  • 안녕하세요. 김현태 물리치료사입니다.

    치료와 입원기간이 길어지는 것에대한 부담이 있으실 수 있겠지만, 현재 시행하고 있는 치료는 과한 조치라기 보다는 후유증에 대한 예방적 대응일 가능성이 존재합니다.

    붉은기가 남아있다는 것은 염증이 여전히 진행중일 수 있다는 증상인데요, 의료진 소견처럼 경구항생제는 효과가 상대적으로 부족하여 회복지연이나 합병증 가능성이 증가할 수 있기 때문에 현재 조치를 유지하는 것으로 보입니다.

    회복경과에 따라 이전에 안내한 입원기간이나 치료계획이 변경될 수 있으므로, 현재시점에서는 회복에 전념해주시며 의료진 권고사항을 유지하는 것이 좋겠습니다.

    1명 평가
  • 안녕하세요. 송진희 물리치료사입니다.

    "개방성 골절 + 핀 고정"이 있어 초기엔 관절염.골수염 위험이 실제로 높아, 정맥 항생제를 "며칠 더 유지하려는 판단은 보수적이지만 타당" 합니다.

    다만 전신열 없음, 염증수치 안정.감소, 상처 분비물 없고 국소 발적이 줄면 "경구 항생제로 전환 후 퇴원"도 충분히 고려됩니다.

    깁스는 필수는 아니며, "뒤꿈치 보행이 통증.안정성에 더 낫다면" 보호 보행으로 대체 가능할 수 있습니다.

    현재 걱정은 과도하진 않지만, "염증수치.상처 상태.X선/초음파 추적"을 근거로 퇴원 시점을 상의해 보세요.

    답변이 도움 되시기를 바랍니다. 감사합니다 수고하세요~^^

    1명 평가
  • 안녕하세요. 김강록 물리치료사입니다.

    우선 전체적인 내용은 종합해보면 현재로썬 강력한 항생제를 사용하는 단계로 골수염 또는 관절염 등 합병증의 위험성을 최소화하기 위해 입원을 하면서 경과를 지켜보려는것 같습니다.

    가장 확실한건 병원 주치의에 소견이 중요하며 현재로썬 충분히 타당한 조치로 확인이 됩니다.

    또한 당분간은 감염 주의 및 해당 부위에 자극을 주기보단 보호가 필요한 단계이기에 경과를 지켜보시는게 좋다고 판단이 됩니다^^

    1명 평가
  • 현재 상태는 단순 발가락 골절이 아니라 개방성 골절에 핀 고정과 발톱부 봉합이 동반된 경우로, 감염 관리 측면에서 보수적으로 접근하는 것이 일반적입니다. 특히 핀이 유지된 초기에는 골수염이나 관절염을 완전히 배제하기 어렵기 때문에 입원 항생제 치료를 권유받는 상황 자체는 의학적으로 이해 가능한 판단입니다.

    다만 유니티악손 같은 정주 항생제가 “반드시 입원으로만” 필요한 단계인지 여부는 별개 문제입니다. 전신 증상 없고, 고열·고름·상처 벌어짐이 없으며, 염증 수치가 안정적이라면 일정 시점 이후에는 경구 항생제로 전환해 외래 추적을 하는 것도 충분히 가능한 치료 전략입니다. 이 부분은 치료 원칙의 문제라기보다는 담당 의료진의 보수성 차이에 가깝습니다.

    반깁스와 체중부하에 대해서는, 엄지발가락 골절 자체는 고정 없이도 치유되는 경우가 많지만 현재는 수술 직후이자 개방성 손상이라는 점이 다릅니다. 뒤꿈치 보행이 편하게 느껴질 수는 있으나, 초기 1~2주간은 핀 안정성과 감염 예방을 위해 보호적 체중부하가 더 안전한 선택입니다.

    종합하면 현재 치료가 명백히 과도하다고 단정할 수는 없지만, 상태가 안정적이라면 조기 퇴원과 경구 항생제 전환을 논의하는 것이 무리한 요구는 아닙니다. 무지에서 비롯된 위험한 판단으로 보이지 않으며, 담당의에게 염증 수치 추이, 핀 유지 계획, 경구 전환 가능 시점을 구체적으로 설명해 달라고 요청하는 것이 가장 현실적인 대응입니다.

    1명 평가
  • 안녕하세요. 김의균 물리치료사입니다.

    개방성 골절같은 경우 정맥항생제를 일정기간 유지하는 것이 좋으며 반드시 1주 추가 입원가지 필요한지는 현재 감염 징후엥 따라 다를수 있고 병원입장에서는 뼈가 작고 연부조직이 얇고 하기에 그리고 개방성골절시 골수염이나 관절염과 같은 합병증 우려가 있기에 그럴 수 있습니다.

    붉은기가 넓어지거나 색이 진하거나 또는 핀 주변 열감 또는 압통이 있고 발톱 밑 통증이 심하고 염증 수치가 정체되거나 상승중이라면 아직 입원이 필요할 것으로 생각됩니다.

    감사합니다 수고하세요~