아하
  • 토픽

  • 스파링

  • 잉크

  • 미션


의료상담

그러나그러므로

그러나그러므로

발바닥이 평발인 것은 어떻게 할 수 있죠?

성별

여성

나이대

43

제가 올해 걸으면 발바닥이 아파서 못 걷겠다고 하니 주변에서 혹시 평발이 아니냐는 이야기를 하더라구요

평발인 것은 눈으로 봐서 바로 알 수 있는 건가요?

5개의 답변이 있어요!

  • 김덕현 물리치료사

    김덕현 물리치료사

    논현역 재활병원

    안녕하세요. 김덕현 물리치료사입니다.

    발바닥이 평발인건 발의아치를확인해보고 알수있는데요 지속적으로 불편감이있다면 병원에서 검사를받아보는것이 좋습니다~

    가까운 정형외과를 방문해보시길 바랍니다 감사합ㄴ디ㅏ~!

  • 안녕하세요. 송진영 물리치료사입니다.

    평발은 발바닥 아치가 낮거나 거의 없어지는 상태로 시각적으로 발바닥이 평평해 보일 수 있습니다 정확한 진단을 위해 발목과 발의 구조를 확인하는 발바닥 검사나 xray촬영을 받을 수 있습니다 평발에 대한 치료로는 맞춤형 깔창을 사용해 발근력 강화 운동을 하는 것이 도움이 될 수 있습니다!

  • 안녕하세요. 김강록 물리치료사입니다.

    평발은 발바닥을 봤을때 아치가 거의 없고 평평하거나 / 앉아서 볼때는 괜찮은데 걷거나 서있을때 아치가 무너지는 경우 평발이라고 합니다.

    우선 걸으면 발바닥이 아프시다면 무리하게 걷는것은 삼가하시는게 좋습니다.

    평소에 편한 쿠셔닝있는 운동화 신기 / 종아리와 발바닥 가벼운 마사지 및 스트레칭 해주기 / 족욕하기 등등 꾸준한 관리를 해주시고 걸을때도 마찬가지로 중간 중간 쉬면서 발바닥을 마사지해주면서 풀어주시는것도 좋습니다.

    반대로 통증이 심한 경우에는 병원에 내원하셔서 의료진과 상담 후 약물치료 또는 물리치료등을 받는것이 좋습니다.

    걷기 운동시 시간을 체크해보면서 무리가 없는 시간대까지만 운동하시길 바라며 꾸준히 스트레칭과 가벼운 마사지를 통해 관리 해주시길 바랍니다.

    답변이 도움이 되셨으면 좋겠습니다^^

  • 안녕하세요. 이동진 물리치료사입니다.

    발의 아치가 없는 것이 뚜렷하게 보이는 경우에는 눈으로 봐서 알 수 있지만 발에 아치를 형성하고 있지만 체중을 받을 때 아치가 무너지는 유연성 평발의 경우에는 평발 측정을 통해 평발 유무를 확인을 하여야 합니다.

    간단하게 측정할 수 있는 방법은 일어섰을 때 손가락 끝을 발목 안쪽 아치 밑으로 넣었을 때 안으로 들어가지 않으면 평발로 보시면 됩니다.

    조금 더 정밀하게 알아보는 방법으로는

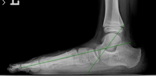
    x-ray를 촬영하여 거골과 엄지발가락 중족골 중심 연장선 사이를 측정하여 4도 이상이면 평발입니다

    <사진출처: 네이버>

    또 다른 방법은 새끼발가락 중족골 및 부분과 종골 밑 부분을 이은 선 사이의 각도가 17도 이하이면 평발입니다.

    <사진출처: 네이버>

    <출처: 핵심 인체구조와 기능: 수문사>

    궁금증에 도움이 되셨으면 좋겠네요

  • 안녕하세요. 남희성 재활의학과 전문의입니다.

    발바닥 내측 아치가 바닥에 많이 붙어있는것으로 가늠을 할 수는 있는데 이 방법이 정확하지는 않습니다. 해당 부위에 근육이나 살이 많아서 그렇게 보일수도 있기 때문입니다.

    또는 아래 첫번째 그림처럼 발뒤꿈치의 아킬레스건이 얼마나 비틀어져있는지를 보고 가늠할 수 있습니다.

    정확한건 X-ray를 찍어서 발바닥 내측 아치가 무너져있는것을 확인해야 진단이 가능합니다.

    두번째 그림이 정상적인 발이고 세번째 그림이 내측 아치가 무너져있는 사람의 X-ray 입니다.