아하
  • 토픽

  • 스파링

  • 잉크

  • 미션


의료상담

약간능력있는순두부찌개

약간능력있는순두부찌개

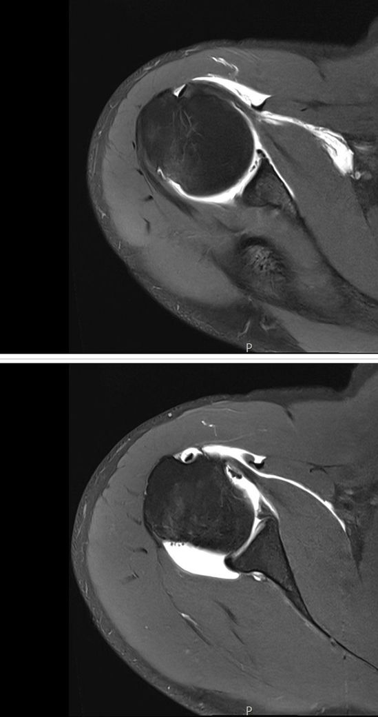
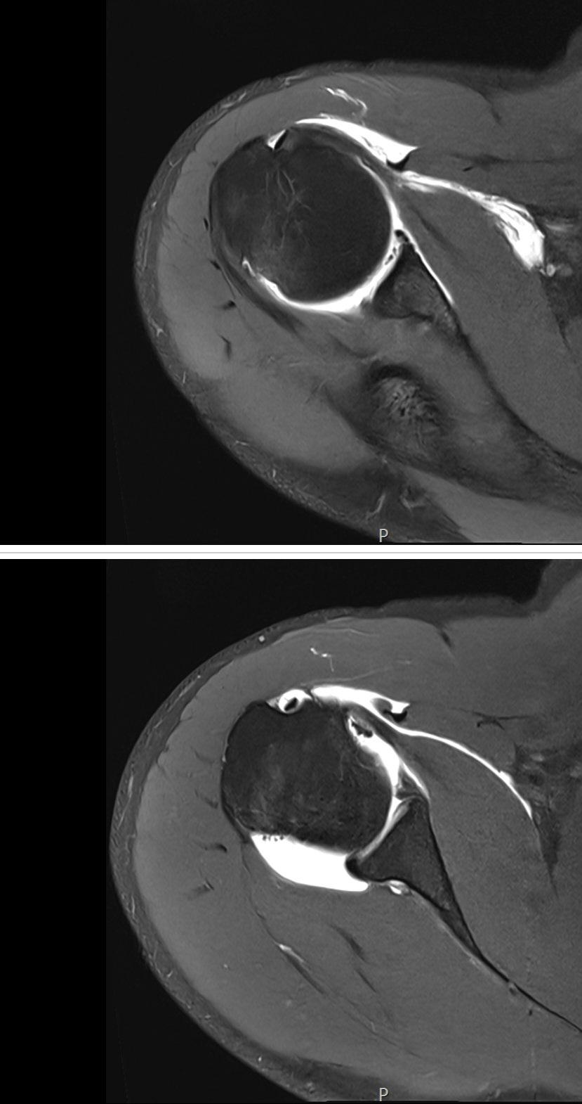
방카르트 병변 관절와순 파열정도 심한편인가요?

성별

남성

나이대

20대

복싱이랑 운동이 취미이며 시합도 가끔 나갑니다 복싱하다가 5주 전 탈구가 있었고 어제 mra를 찍었는데 상태가 어떤 편인가요

비수술로 재활을 할 수 있을 정도인가요?

통증없는 범위에서 스트레칭을 하고 있습니다

요약 정보가 없어요.

  • 1번 째 사진

4개의 답변이 있어요!

  • 김현태 물리치료사

    김현태 물리치료사

    보건복지부

    안녕하세요. 김현태 물리치료사입니다.

    정밀한 소견은 올려주신 사진 이외에도 뱔개의 평가와 반복성여부를 종합하여 파악하는 것이 정확하고, 탈구 이후 방카르트 손상 소견은 일반적으로 흔히 나타날 수 있는 소견입니다.

    비수술적인 재활이 충분히 가능하신 정도일 수 있지만, 재발위헌도에 따라 다를 수 있으므로 이점에 관련해서는 전문의 진료를 받아보신 후 소견을 참고하시는 것이 정확합니다.

  • 안녕하세요. 송진희 물리치료사입니다.

    사진 직접 판독은 불가하지만, 복싱 후 “탈구 5주 + MRA 촬영“이면 보통 관절순.인대 손상 여부를 보는 단계입니다.

    관절순 파열이 크지 않고 불안정성 없으면 “비수술 재활로 가는 경우도 많습니다.“

    다만 시합 나가는 복싱은 재탈구 위험이 높아 “완전 회복 전 스팡링은 비추천“입니다.

    통증 없는 스트레칭은 괜찮지만, ”정확한 수술/비수술 판단은 영상들고 스포츠정형외과 진료“ 꼭 보세요.

    자세한 건 병원에 전문의와 상담을 받아보시기를 바랍니다.

    감사합니다~^^

  • 안녕하세요. 신미소 물리치료사입니다.

    사진보니까 가벼운 손상이 아니라 어깨 테두리 관절이 크게 떨어진 상태에요. 탈구하면서 구조물이 제대로 찢어진 상황이라어깨를 잡아주는 힘이 많이 약해져있어요. 복싱처럼 팔을 크게쓰고 충격 많은 운동을 계속하면 다시 빠질 가능성이 높고, 한번 더 빠지면 손상이 더 커질수 있어요. 일상생활만 하면 재활로 버틸수 있는 경우도 있지만 시합까지 하는 운동선수라면 재탈구 가능성이 높아서 수술을 권하는 경우가 많아요. 지금 상태로 무리해서 운동하는건 솔직히 좀 위험한 상황이에요.. 지금 스트레칭은 통증 없는 범위면 괜찮지만, 

    팔 벌리고 뒤로 젖히는 동작, 강한 회전은 피하세요. 빠른쾌유를 빕니다!

  • 안녕하세요. 김강록 물리치료사입니다.

    현재로썬 여러 측면으로 확인이 필요한 부분이기에 사진만으론 판단을 하긴 어렵습니다.

    다만 지금과 같이 관절와순 파열은 확인이 되지만 추가적으로 뼈의 결손이 있는지 추가 확인을 해보시길 바랍니다.

    현재로썬 비수술 치료를 통해 먼저 재활을 해보시고 호전이 없거나 습관성 탈구, 움직임 제한, 통증 등 악화가 일어난다면 수술을 고려 해보시길 바랍니다.

    정밀 검사를 하셨기에 병원에 문의하셔서 판독지 또는 소견서를 발급 받아보시길 바라며 당분간은 어깨에 자극을 주거나 무리하게 움직이는건 삼가하시길 바랍니다^^