아하
  • 토픽

  • 스파링

  • 잉크

  • 미션


의료상담

지나치게열정있는장조림

지나치게열정있는장조림

무릎 mri 결과 정상이라고 하는데..

성별

여성

나이대

20대

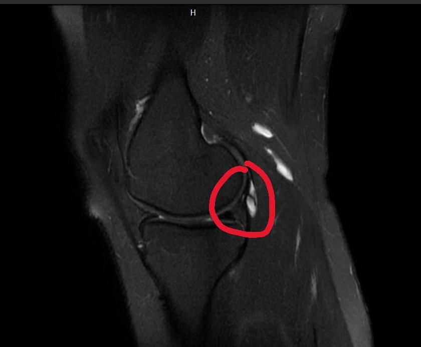
집에서 mri파일을 보면서 갈라져 보이는 흰색을 발견했는데 무릎에 별 영향은 없는 건가요??

무릎이 붓고 통증이 있어서 갔는데 병원에서는 멀쩡하다고 하네요

  • 1번 째 사진

7개의 답변이 있어요!

  • 강한솔 의사

    강한솔 의사

    응급의학과/피부미용

    올려주신 한 장의 컷만으로 단정할 수는 없지만, 표시하신 흰색 구조는 파열된 힘줄로 보일 가능성은 낮습니다. T2 계열 MRI에서는 물 성분이 밝게 보이는데, 관절액이 주머니처럼 고이거나 힘줄·인대 주변에 생긴 소량의 액체가 저렇게 보이는 경우가 흔합니다. 대표적으로 경미한 관절삼출, 인대 주위 액체, 작은 활액낭염이나 아주 작은 낭종(ganglion, parameniscal cyst 등)이 해당됩니다.

    영상 판독에서 “정상”이라고 했다면, 인대나 힘줄의 연속성은 유지되고 있고 수술적 의미의 손상은 없다는 뜻일 가능성이 큽니다. 다만 MRI상 구조적 이상이 없어도 실제로는 일시적인 염증, 과사용, 미세한 연부조직 자극 때문에 통증과 부종이 생길 수 있습니다. 이런 경우는 휴식, 소염진통제, 물리치료로 호전되는 경우가 많습니다.

    부기가 지속되거나, 통증이 점점 심해지거나, 걸을 때 불안정감·잠김 증상이 있으면 영상 CD를 들고 정형외과에서 판독지 기준으로 다시 설명을 요청하거나 재진을 보는 것이 현실적인 다음 단계입니다.

  • 안녕하세요. 신미소 물리치료사입니다.

    그럴 수 있어서 더 답답하셨을 것 같아요… 통증이랑 붓기가 있는데 정상이라 들으면 납득이 잘 안 되죠.

    사진에서 보이는 갈라진 듯한 흰색은 꼭 병적인 파열이라기보다는 관절액(물), 혈관, 촬영 각도나 단면 때문에 그렇게 보이는 정상 구조인 경우가 많아요. MRI는 단면 사진이라 집에서 보면 실제보다 찢어진 것처럼 착시가 생기기도 해요. 그래서 의사가 전체 컷을 다 보고 정상이라고 한 거라면 연골·반월상연골 파열 같은 큰 문제는 없다는 의미일 가능성이 큽니다.

    다만 MRI에 안 잡히는 초기 염증, 과사용, 인대 미세손상은 통증·붓기를 만들 수 있어요. 증상이 계속되면 쉬는 기간을 갖거나, 물리치료/약물치료를 해보고, 그래도 안 나아지면 다른 병원에서 영상 재판독만 받아보는 것도 괜찮아요.

  • 안녕하세요. 송진희 물리치료사입니다.

    MRI에서 보이는 흰 선이나 갈라진 것처럼 보이는 건 촬영 각도나 정상 구조인 경우도 꽤 많아요.

    실제 문제라면 의사가 판독에서 바로 짚어줬을 가능성이 큽니다.

    부기랑 통증은 연골.인대 미세 염좌나 활액막염처럼 영상에 안 잡히는 원인일 수도 있어요.

    통증이 계속되면 휴식 후 경과 보거나, 불안하면 판독지 들고 다른 병원에서 의견 한 번 더 들어보세요.

    자세한 건 병원에 전문의 상담을 받아보시기를 추천드립니다.

    감사합니다~^^

  • 안녕하세요. 조현배 물리치료사입니다.

    반복된 동작이나 충격으로 인한 연부조직의 미세한 손상의 경우 통증이나 붓기등의 증상이 나타날 수 있으나 병원에서 큰 이상 없다고 말씀하신 말씀에 따라 너무 걱정하지 않으셔도 될거같습니다

  • 안녕하세요. 김의균 물리치료사입니다.

    무릎 MRI상 정상이라고 해서 통증 및 부종이 없다고 보기는 힘들며, MRI촬영 방식에 따라서 관절액 또는 혈관의 단면 혹은 지방 연골표면이 반사된 것일 수 있습니다.

    무조건 파열이라고 보기는 어려우며 자세한 사항은 해당병원에 문의해보시는게 좋을 것으로 생각됩니다.

    빠른 쾌유를 기원합니다.

    감사합니다 수고하세요~

  • 안녕하세요. 김현태 물리치료사입니다.

    사진상에 표시해주신 부분은 무릎의 구조물로 보이는데요, 특별히 이상소견이 없으셨다면 무릎에 큰 문제가 발생하지 않은 것으로 생각됩니다.

    MRI는 무릎의 전반적인 구조물을 확인할 수 있으며, 조직의 성질에 따라서 흰색과 검은색으로 달리 보일 수 있습니다.

  • 안녕하세요. 김강록 물리치료사입니다.

    우선 MRI 판독상 정상적인 판독 결과가 나왔다면 너무 걱정하지 마시길 바랍니다.

    사진만으론 정확히 판단 할 순 없지만 해당 표시된 부분은 지방 또는 관절액, 염증으로 볼 수 있습니다.

    다만 전문의 판독하에 해당 표시된 부분도 확인 하셨을 가능성이 높고 정상적인 소견이 있으셨기에 너무 걱정마시길 바랍니다.

    문제는 MRI는 정상으로 나오셨지만 무릎이 아프다면 구조적인 문제보다는 기능적인 문제로 인해 통증이 나타날 수 있습니다.

    연골연화증, 무릎 관절의 과사용 또는 근력 약화 등 여러 원인이 있을 수 있으니 적절한 치료를 받아보시길 바라며 만약 MRI를 좀 더 자세하게 소견을 듣고 싶거나 다른 전문의에 소견을 듣고 싶다면 MRI를 첨부하셔서 영상의학과에 내원하시길 바랍니다^^